A POCUS no Pré-natal de risco habitual na Especialização de Medicina de Família e Comunidade do Programa Médicos pelo Brasil em Porangatu – GO, Brasil

Porangatu/GO

INTRODUÇÃO

A ultrassonografia no local de atendimento, do inglês Point-of-Care Ultrasonography (PoCUS), é um termo amplo abarcando múltiplas situações em que a portabilidade do aparelho de ultrassom pode ser usada. Usa uma técnica não muito antiga, se comparada a outras metodologias de imagens, sendo considerada o quinto pilar do exame físico. Seu uso no pré-natal de risco habitual pode melhorar a qualidade assistencial na medicina de família e comunidade pensando o pré-natal como um acolhimento às gestantes sem fatores de risco que possam afetar à saúde materno e perinatal.

OBJETIVOS

Introduzir competências básicas da PoCUS no acompanhamento do pré-natal de risco habitual na especialização de Medicina de Família e Comunidade do Programa Médicos pelo Brasil (PMpB).

MÉTODOS

No período compreendido entre 07/03/2023 a 07/03/2025 na Estratégia de Saúde da Família São Francisco ESF-03 e Sol Nascente ESF-07 no município de Porangatu (GO), Brasil realizou-se um total de 8.349 atendimentos médicos, com 769 consultas de pré-natal e 411 ultrassons no local de atendimento de acompanhamento do pré-natal de risco habitual com aparelho portátil de bolso, sem fio, tecnologia Clarius C3 HD3, transdutor convexo, frequência de 2-6 MHz e monitores iPhone-10 e iPad Air 11. Acompanharam alguns atendimentos 12 bolsistas do PMpB dos municípios goianos Bonópolis, Britânia, Campinorte, Mara Rosa, Mundo Novo, Mutunópolis, Niquelândia, Nova Veneza, Santa Tereza de Goiás, São Miguel do Araguaia e do Pará Santana do Araguaia. Os bolsistas não tinham conhecimentos prévios sobre a PoCUS, disseram que sua formação nessa ferramenta durante o PMpB foi satisfatória e caso tivessem um aparelho sentem confiança em realizar o procedimento tanto na Unidade Básica de Saúde quanto nos domicílios, acreditaram que a formação básica recebida foi alcançada e concordam totalmente que a ultrassonografia no local de atendimento poderia estar dentro da formação especializada em medicina de família e comunidade e entenderam que no pré-natal de risco habitual é uma ferramenta que pode mudar sua conduta.

Características da População:
Gestantes adscritas à Estratégia de Saúde da Família São Francisco ESF-03 de Porangatu-GO.
Estimativa Nº Pessoas Atendidas:
Aproximadamente 20 consultas de Pré-natal de risco habitual por mês
Principais Desafios de Saúde:
Os principais desafios de saúde enfrentados no município de Porangatu (GO), são o combate a doenças transmitidas por vetores, acesso a alguns exames, a infraestrutura das Unidades Básicas de Saúde, a ampliação das Estratégias de Saúde da Família assim como a coordenação entre Atenção Primária e demais serviços da Atenção Secundária e Terciária.
Objetivos Principais:
Introduzir competências básicas da PoCUS no acompanhamento do pré-natal de risco habitual na especialização de Medicina de Família e Comunidade do Programa Médicos pelo Brasil (PMpB).
Resumo da Experiência:
INTRODUÇÃO A ultrassonografia no local de atendimento, do inglês Point-of-Care Ultrasonography (PoCUS), é um termo amplo abarcando múltiplas situações em que a portabilidade do aparelho de ultrassom pode ser usada. Usa uma técnica não muito antiga, se comparada a outras metodologias de imagens, sendo considerada o quinto pilar do exame físico. Seu uso no pré-natal de risco habitual pode melhorar a qualidade assistencial na medicina de família e comunidade pensando o pré-natal como um acolhimento às gestantes sem fatores de risco que possam afetar à saúde materno e perinatal. OBJETIVOS Introduzir competências básicas da PoCUS no acompanhamento do pré-natal de risco habitual na especialização de Medicina de Família e Comunidade do Programa Médicos pelo Brasil (PMpB). MÉTODOS No período compreendido entre 07/03/2023 a 07/03/2025 na Estratégia de Saúde da Família São Francisco ESF-03 e Sol Nascente ESF-07 no município de Porangatu (GO), Brasil realizou-se um total de 8.349 atendimentos médicos, com 769 consultas de pré-natal e 411 ultrassons no local de atendimento de acompanhamento do pré-natal de risco habitual com aparelho portátil de bolso, sem fio, tecnologia Clarius C3 HD3, transdutor convexo, frequência de 2-6 MHz e monitores iPhone-10 e iPad Air 11. Acompanharam alguns atendimentos 12 bolsistas do PMpB dos municípios goianos Bonópolis, Britânia, Campinorte, Mara Rosa, Mundo Novo, Mutunópolis, Niquelândia, Nova Veneza, Santa Tereza de Goiás, São Miguel do Araguaia e do Pará Santana do Araguaia. Os bolsistas não tinham conhecimentos prévios sobre a PoCUS, disseram que sua formação nessa ferramenta durante o PMpB foi satisfatória e caso tivessem um aparelho sentem confiança em realizar o procedimento tanto na Unidade Básica de Saúde quanto nos domicílios, acreditaram que a formação básica recebida foi alcançada e concordam totalmente que a ultrassonografia no local de atendimento poderia estar dentro da formação especializada em medicina de família e comunidade e entenderam que no pré-natal de risco habitual é uma ferramenta que pode mudar sua conduta.
Resultados:
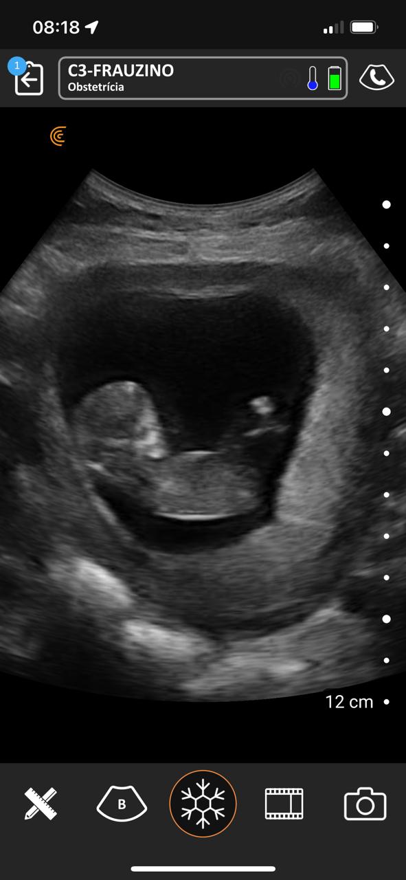
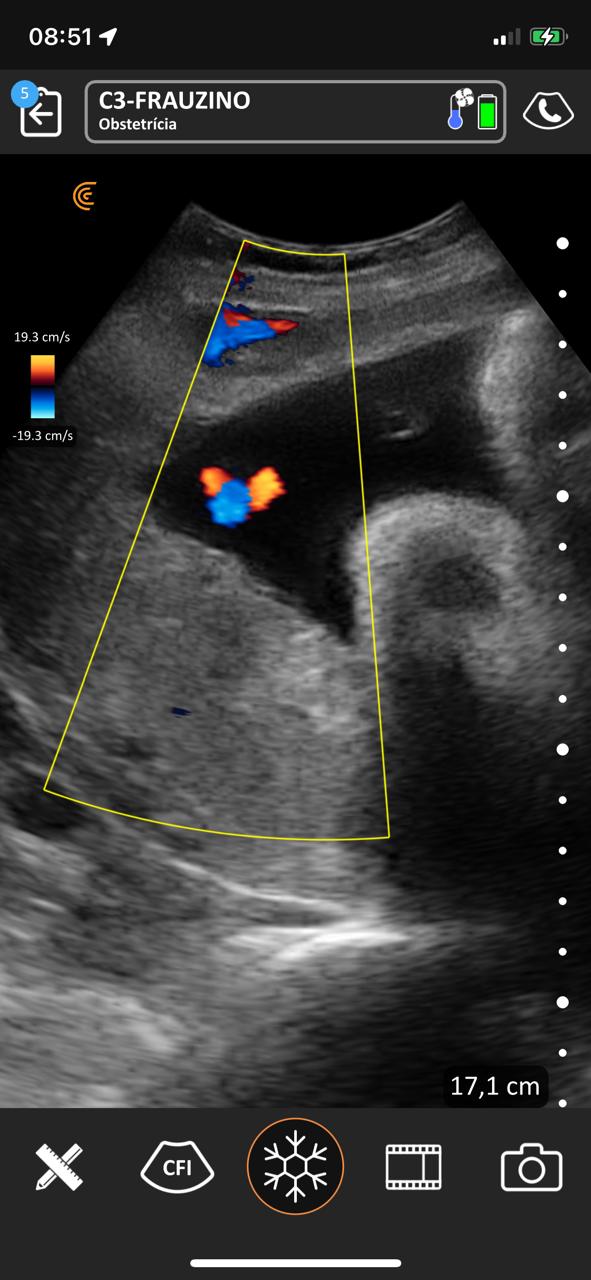
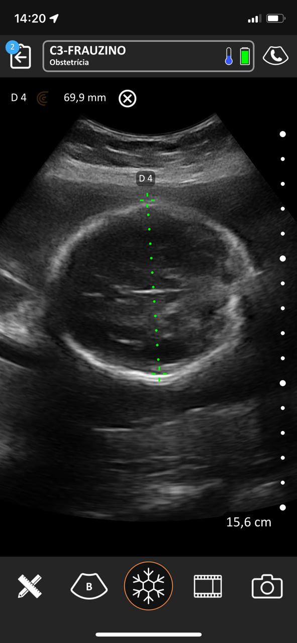
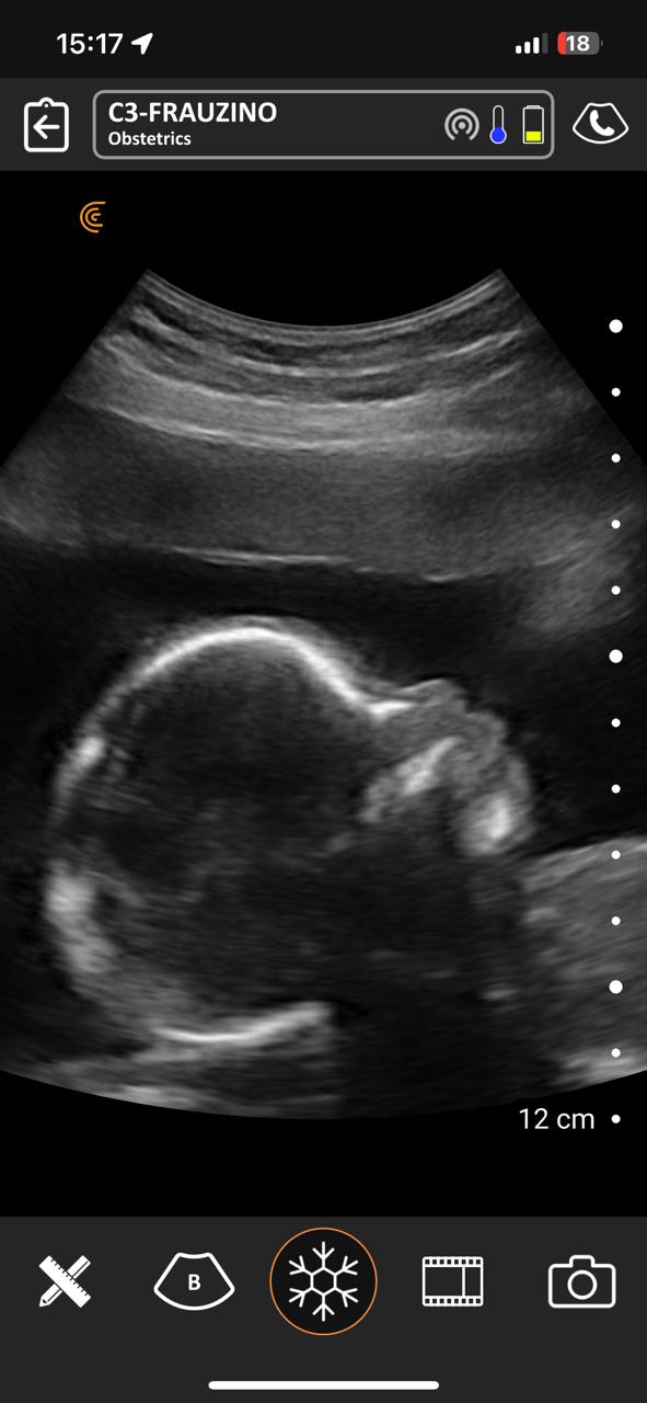
Nos acompanhamentos das consultas de pré-natal, dos 411 ultrassons realizados, 19 foram de diagnóstico gestacional e datação da idade gestacional, sendo 13 com idade gestacional menor de 14 semanas, uma na 24ª e outra na 29ª semana. Houve duas gestações gemelares que foram acompanhadas conjuntamente com o alto risco. A média de idade das gestantes foi de 26 anos e o da idade gestacional de 22 semanas e 2 dias. Os bolsistas realizaram um total de 188 ultrassons e após a familiarização teórica e prática, foram capazes de identificar 10 tópicos como situação, apresentação, dorso, batimento cardíaco fetal, movimentos fetais, órgãos internos (ao menos 1 estrutura), biometria (ao menos diâmetro biparietal e comprimento do fêmur), placenta, líquido amniótico, cordão umbilical, datar e descrever o procedimento.
Mais Informações